微信掃描二維碼,點擊右上角 ··· 按鈕
轉發給朋友或分享到朋友圈
顯微成像·洞察微觀之美
Microscopic imaging, insight into the beauty of micro
光學顯微鏡觀察方式大盤點:明場
發布時間:2025-10-15
訪問量:109
光學顯微鏡觀察方式大盤點:明場
光學顯微鏡適用于多種檢材,如組織切片、活細胞、電路板等。不同檢材光學特性差異大,需使用不同觀察方式,主要有明場、相差、熒光、偏光、DIC、暗場、霍夫曼相襯七大方式。
一臺光學顯微鏡可能擁有一種或多種觀察方式,今天我們先來說說明場觀察方式。
(1)成像原理
明場觀察是光學顯微鏡基礎的觀察方式,其利用可見光(約400-700nm)作為照明光源,光線相位、照射角度等性質不作改變,直接照射在樣品上進行成像。
明場觀察有透射照明和反射照明兩種照明方式,前者是照明光線透過樣品后進入物鏡,主要適合有透明度的薄樣品;后者是照明光線照射到樣品后反射進入物鏡,主要適合不透明的厚樣品。

透射與反射(落射)光路示意圖
(2)關鍵部件
明場觀察不需要特殊的部件,其效果主要受光源和聚光鏡影響。光源有兩項核心規格,色溫和顯色性。聚光鏡核心規格是數值孔徑。
傳統以鹵素燈等作為光源,其特點是色溫偏暖,約3000K,亮度越低色溫越暖。人眼觀察較為舒適,顯色性高,但一般需要在光源處使用RBD日光濾光片或藍色濾光片校正色溫,否則對于樣本中紅染、黃染等細節的分辨很差。主要缺點是發熱大、使用不當容易燒,另外用濾色片校正色溫會損失光強,對拍照有影響。
使用技巧:關鹵素燈光源前先把光強調低。以高光強啟動鹵素燈容易導致燈泡燒壞,調低光強再關,可以避免下次開燈時意外燒壞燈泡。LED光源則基本不影響,但養成好習慣總是有益的。
目前專業LED光源已逐步成為主流,其色溫恒定在5000K左右,接近日光的平均色溫,顯色性較好,人眼觀察和數字相機成像都有較好效果。此外LED光源功耗低亮度高,一般3W LED可以達到30W鹵素燈光強,方便即開即用,壽命長,免維護,因此明美大部分顯微鏡均默認采用LED作為明場光源,鹵素燈則作為可選。

左圖:鹵素燈照明;右圖:LED燈照明
聚光鏡會有倍數刻度或者數值孔徑刻度,一般調到物鏡對應的倍數,或者比物鏡數值孔徑稍低的數值即可。更準確的調試方式,拔出目鏡,邊調節孔徑光闌邊從觀察筒觀察物鏡后焦平面,當畫面占視野3/4左右時效果好,但不建議頻繁這樣操作,因為容易讓觀察筒進灰。
產品小知識1:除了數值孔徑,聚光鏡還有消色差、消球差等規格區別,在40X以上會對成像質量有較大影響,所以并不是數值孔徑高就等于更好。
產品小知識2:如果您想使用超低倍2X物鏡,您需要選配搖出式聚光鏡。
(3)成像特點
明場觀察能較好地呈現樣品色彩,但襯度較低,尤其是透射照明的明場中。在透射照明成像過程中,帶有樣品信息的光線與背景光線混合在一起,這使樣品淺色部分與背景對比度較低,遇到活細胞等透明樣品基本看不出細節。因此,該觀察方式適合已經染色樣品或本身有顏色的樣品進行成像。

(4)主要應用
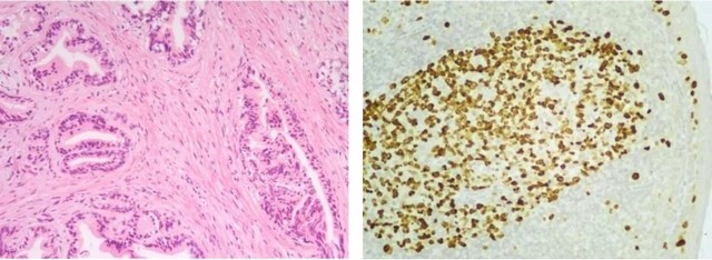
①醫學診斷:HE、IHC等染色病理切片檢驗

明美研究級生物顯微鏡ML51-N明場觀察樣品圖
左圖:HE 組織病理切片樣品 右圖:IHC 免疫組化樣品
②材料分析:金相組織、電路芯片等。

明美金相顯微鏡MJ43拍攝的明場金相組織
③生物學研究:如觀察組織器官、細胞結構、微生物等。

明美體視顯微鏡MZX100拍攝的蜜蜂
(5)明美產品
產品:ML11/ML31/ML41/ML51

配置白光LED光源,成像明亮清晰
采用無限遠光路系統,可靈活升級配置
適用于教學、科研、醫療診斷等場景
②金相顯微鏡
產品:MJ31/MJ33/MJ43/MJ41-LED/MJ42

可配置LED或鹵素燈等光源,滿足不同觀察習慣
配置長工作距離金相物鏡,成像清晰,對比度高
適用于工業、材料學等觀察場景
③體式顯微鏡
產品:MZ62/MZ101

獨立雙光路系統設計,成像具有立體感
可配備透射與反射LED光源,適配不同檢材
可適用于常規生物醫學檢驗,科研研究和工業檢測等高精度觀察領域
④顯微鏡相機
產品:MSX11/MSX2/MSX1/MDX10

大靶面尺寸感光芯片,高像素設計,細節成像更清晰
靈敏度高,色彩還原性好
軟件易用,可搭配明美及其他品牌顯微鏡
本期的文章就到這里,希望對大家有幫助,下一期我們介紹相差觀察。
免責聲明
本站無法鑒別所上傳圖片、字體或文字內容的版權,如無意中侵犯了哪個權利人的知識產權,請來信或來電告之,本微信公眾號將立即予以刪除,謝謝。
微信掃描二維碼,點擊右上角 ··· 按鈕
轉發給朋友或分享到朋友圈