微信掃描二維碼,點擊右上角 ··· 按鈕
轉發給朋友或分享到朋友圈
顯微成像·洞察微觀之美
Microscopic imaging, insight into the beauty of micro
曙光醫院引入明美MIX60-FL倒置熒光顯微鏡,助力組織細胞研究
發布時間:2025-02-08
訪問量:714
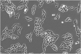
在生命科學研究中,組織細胞的動態觀察是一門常見的課題。而倒置熒光顯微鏡,則是這門課題研究的“必備利器”。
近日,曙光醫院需要一臺倒置熒光顯微鏡,用于觀察組織細胞形態變化,經過多輪篩選與嚴格測試,選擇了明美的MIX60-FL倒置熒光顯微鏡,為科研攻堅注入了新的活力。

MIX60-FL倒置熒光顯微鏡的核心亮點
支持多個倍率相襯觀測

標配半復消色差物鏡,以及多個倍率的相襯物鏡,無論是明場還是熒光觀察,都能做到游刃有余。
靈活適配不同的培養容器

MIX60-FL采用快拆式相差聚光鏡,工作距離達到72mm,可以適配各種不同的培養容器。 數智化模塊,設計更貼心帶ECO人走燈滅功能,可設置一定時間內無人使用后自動關閉光源,實現人走燈滅、人來燈亮的功能,省電且延長光源壽命。
此外,機身自帶OLED屏幕,在上方直觀呈現當前物鏡倍數與光強指數,也可進行語音播報,方便選擇物鏡倍數。

多通道熒光切換,滿足多樣化實驗需求MIX60-FL配備多通道獨立控制系統,來回切換無需反復調整,無論是單一染色還是多重標記,MIX60-FL都能游刃有余地應對。

在曙光醫院的實際應用中,MIX60-FL憑借高分辨率成像、多通道熒光獨立記憶和智能化控制等特點,不僅顯著提升了科研效率,還幫助科研團隊更高效地捕捉細胞動態信息,為組織細胞研究提供了精準數據支持。
聯系我們,了解更多產品詳情!
免責聲明
本站無法鑒別所上傳圖片、字體或文字內容的版權,如無意中侵犯了哪個權利人的知識產權,請來信或來電告之,本站將立即予以刪除,謝謝。
微信掃描二維碼,點擊右上角 ··· 按鈕
轉發給朋友或分享到朋友圈